| Cerec, Celay | ![]() |
Empress, OCC |
| 大阪大学歯学部 歯科保存学講座 |
河合啓次 |
最近、歯科臨床では”審美”が再確認され、臼歯部にも金属色ではなく歯冠色を有した修復物が好まれるようになってきている。現在、種々の要因(表1)から、セラミック修復への関心が非常に高まってきている。このため、従来より行われてきた焼成(築盛)型のポーセレン修復の改良の他に、新しいセラミックスを用いたシステム(表2)も各メーカーから発表されている。しかし、多種多様な各システムの特徴を考えると、各症例に合わせた”適材適所”的な使い方が現在のところ望ましいようである。
| 表1 セラミック修復への関心が高まった理由 | 表2 セラミック修復の分類 |
|
|
今回取り上げるシステムはその製作法により、ミリング法とロストワックス法の2つであり、新しいセラミックシステムの中心的なものばかりである。代表的なものとして前者にはCerec(図1a)やCelay(図1b)が、後者にはOCC(図1c)やIPS Empress(図1d)といったシステムをあげることができるが、今回はこれらを少し比較検討してみたい。
![]() |
![]() |
図1a〜d 4種のセラミックインレー修復システム a:Cerecの全体像 b:Celayの全体像 c:OCCの全体像 d:IPS Empressの圧入装置 |
| a | b | |
![]() |
![]() |
|
| c | d | |
筆者は”修復されていること自体を別の術者に認知させないほどに自然感を有した修復を行う”ことを修復における審美の最終目標と考えているが、この点に関しては新しいシステム単独ではまだ確実に成し遂げられないのが現状のようである。
●ポイント1 機械的強度
図2にこの4種のセラミックスの曲げ強さを示した。ガラス・セラミックスであるOCCの強度がもっとも大きく、次に、組成からいうとポーセレンであるが繊細なリューサイト結晶を析出させたEmpressがほぼ同じ大きさで続いている。通常のポーセレンと考えられるCerec、 Celayの専用ブロックの強度は上記2種よりやや低かったが、品質管理された工場で製作されているため、通常の築盛法によって製作されたポーセレンと比べるともちろん大きい。図3にはセラミックスの欠点の一つである脆性(もろさ)を知るための指標である破壊靭性値を示したが、曲げ強度の大きさと同じ順位傾向を示している。また、図4には表面硬さ値を示したが、逆にOCCがもっとも軟らかく、ついでEmpress、そしてCelay、 Cerecの順で硬さは大きくなった。臨床的にはセラミックス表面の硬さがあまりに大きいと、対合する歯牙を摩耗させてしまう問題が生じる。もちろん、表面硬さ値によってすべての材料の耐摩耗性、対合歯の研削性を説明できるわけではないが、重要な参考データになることは明らかである。
|
|
|
![]() |
![]() |
|
| a | b | |
![]() |
![]() |
図5a〜d Cerec修復の窩洞形成時に注意すべき点
|
| c | d |
セラミックインレー修復の窩洞形成法については現在のところ、その多くは経験や推測からのみ述べられているきらいがあるが、少なくとも表3のような点に注意して行う必要があると思われる。基本的にはメタルインレー窩洞を準用しているため、初心者でもそれほど困難さは感じない。しかし、Cerecの窩洞形成となると、上記の原則の他にCerec装置のメカニズムからくる特有の条件が加わり、術者の負担を大きくしている感じは否めない(図5a〜d)。
|
ミリング型セラミックスの場合、適合性は使用する装置の精度や切削機構に依存する。Cerecでは窩洞形態が切削機構に適合した場合にのみ良好な適合性が得られるが、この条件からはずれるとミリングの終了したインレー体はまったく窩洞に戻らなかったり、100μmを優に超える適合性しか得られず、辺縁部でのギャップ幅のばらつきも大きくなる。この点Celayでは複雑な窩洞形態の場合でも、修復物の全周にわたって均一に80μm以下の比較的良好な適合性が確保できる。一方、OCCのような鋳造法による製作法の場合、修復物の適合精度はおもに使用する埋没材の膨張特性によって決定されると考えられる。このため、多くはメーカー指示の方法では良好な適合性が得られないが、少し工夫すれば適合性が改善する場合が多い。また、Empressではメーカー指示にあるようにスペーサーの厚みにより適合性を調整するため、毎回一定した適合性を得ることが難しい。いずれにしても、Cerecを除くと、どのシステムも、焼成型ポーセレンと比べると、適合性は良好であり、臨床的には問題ないレベルと考えられる。
●ポイント4 色調再現性
それぞれのシステムが用意している基本の色調はCelayの2色(A2、A3)がもっとも少なく、次いで、Cerecの3色(A2、A3、A3.5)そして、OCCの5色となっている。これに対し、Empressはステイン技法用に5色と、レイヤー技法に27色と非常に多くの色調のインゴットと多種類のステインが用意されている(図6)。通常、セラミックインレー修復ではカメレオン効果を期待して修復を行うため、適度な透明性も必要であるが、この点OCCではセラミング(結晶化)により透明感がかなり失われてしまう欠点がある(図7)。一方Empressには色調だけでなく、透明性の違うインゴットも用意されていて、窩洞の色調にあわせて使い分けすることも可能である。
![]() |
![]() |
図7 |
| 図6 IPS Empressの豊富な色調のインゴット |
CerecはCAD/CAMを応用して診療の効率化をはかっており、チェアーサイドでの修復、すなわち即日治療が可能であるといわれている。しかし、これはあくまでもCerecの特有の条件を満たした窩洞を修復する場合であり、その窩洞形成法に習熟していない場合、逆に操作性は非常に悪くなる。一方、その他のシステムではメタルインレーを製作する術式とほぼ同じであるため、導入しやすい。
機械的強度は若干の違いはあるものの、いずれも従来からの焼成法によるポーセレンと比べると大きく向上しており、歯牙に対して十分な接着が得られれば臨床的には通常の使用ではほとんど問題とならないだろう。ただ、OCCでは比較的短期で大部破折あるいはチッピングを起こす症例が少なからず見られたが、これは用いる接着システムによっては、OCCに対して十分に接着しないためと考察している。
また、セラミング処理を必要とするシステムでは機械的強度のことばかりを考えて結晶化温度あるいは時間を大きくすると、結晶の成長が大きくなり逆に接着性が悪くなったり、透明性の低い自然感のない修復となってしまうことには注意したい。
全般的には接着処理をセラミック修復に適用する限り、マージンの間隙幅を埋める耐摩耗性の高いコンポジットレジン(セメント)を用いさえすれば、接着しない無機セメントの場合と違い、適合性や窩洞形成法も現時点ではそれほど重要な問題ではないであろう。
やはり、セラミックインレー修復の臨床にとって重要な指標は色調再現性と操作性になるのではないかと思われる。しかし、両者は相反するもので、現在両者を満足させる単独のシステムはない。すなわち、操作性を重視すれば当然、製作ステップを減じ、患者それぞれの症例に合わせた色調や透明性の再現は犠牲にせざるを得ない。逆に、色調再現性を重視するのであれば、やはり焼成法か、Empressのレイヤー技法に頼らざるを得ないが、せっかくの新しい簡便にできるセラミック修復の流れに逆行することになる。しかし、幸いなことにインレーの場合、特別な場合を除いて、焼成法などに頼らなくても、少々の特徴付けを行えば、臨床的には満足できる修復が行える。
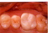
図8〜10にはそれぞれ、Cerec(図8)、Celay(図9)およびEmpress(図10)を用いて審美修復を行った臨床症例を示した。
![]() |
![]() |
図8ab Cerecを用いた修復例
|
| a | b |
![]() |
![]() |
|
| a | b | 図9a〜d Celayを用いた修復例
|
![]() |
![]() |
|
| c | d |
![]() |
![]() |
図10ab Empressを用いた修復
|
| a | b | |























